Lower Extremity

Variable Compression Device  |  Foot  |  Fibula |   Diaphysis  | Cannulated Screws  |  Shape Memory Staples

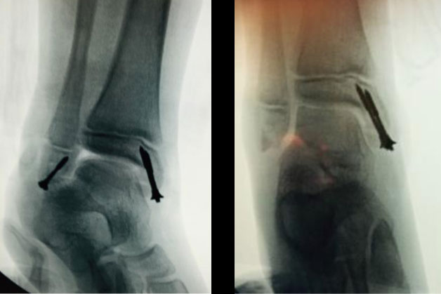
Variable Compression Device

The OptOssol™ system offers a patented hybrid wire and screw design which allows for surgeon-controlled variable high compression with customizable implant lengths.

Patented New Design

  • Easy to use – Inserts under power with a wire driver
  • High degree to variable compression due to floating head design
  • Reduced risk of stripping as head moves independent of shaft
  • Can be cut to desired length reducing screw inventory
  • Customizable to any length for optimum fixation
  • Bone threads come in 1.7mm, 2.5mm and 3.5mm diameters
  • For use in upper and lower extremities*

The OptOssol™ Compression Device is indicated for use in the internal fixation of fractures, fusions and revisions. The system is intended for but not limited to Upper and Lower Extremity surgery but is not intended for spinal use.

opt-ossol-right

Foot Plating System

Our Foot Plating System is a comprehensive set of implants to stabilize the bones of the entire foot from calcaneus to the phalanges.

System Features

  • Low Profile Locking
  • Titanium
  • Atraumatic/ rounded edges
  • 10° Variable Angulation

Fibula Locking Plates

Our fibula plates are low profile, anatomically shaped plates that allow for a wide variety of anatomy.

Features

  • ± 10° poy-axial locking system
  • Low profile anatomically per-contoured plate design
  • Scalloped edges for syndesmatic screw placement outside of the plate

Diaphysis System

The Diaphysis system provides multiple options for treating the diaphysis of the upper and lower extremities.

arix-diaphysis

Features

  • Low profile titanium plates and screws
  • Bidirectional and unidirectional compression holes

Cannulated Screws

A range of headed as well as headless cannulated screws with simple instrumentation.

Features

  • Head & Headless options
  • Reverse cutting flute for ease of screw removal
  • Thread length choice for best fit of distal threads into bone fragment
  • Self-tapping flutes reduce OR time
cannulated-screws

Shape Memory Staples

The MH Staples system is cost effective solution in shape memory staples.

System Features

  • Shape memory for interoperative stability
  • Multiple sizes to meet the indication
  • “S” bridge for proximal compression
  • No barbs for easy removal
  • Up to 75% of displacement for distal compression
  • Simple, reusable instrumentation lowers costs in your operating room

Maxx Health is the US distributor for the products detailed.
Summa Orthopaedics, Tyber Medical and Jeil Medical are the manufacturers for these products.

Contact Us

If you need more information or have questions about our products please send us a message and we will be in touch soon.

Not readable? Change text. captcha txt